|

Diese Webseite gehört zur orthopädisch-rheumatologischen und chirurgisch-unfallchirurgen Gemeinschaftspraxis Elmshorn, Dres. Hansens, Herzog, Schwarke, Frank, Wolf, Grobe und Hilgert.
Zur Homepage der Praxis finden Sie weiter unten einen link.
OPERATION: KÜNSTLICHES HÜFTGELENK
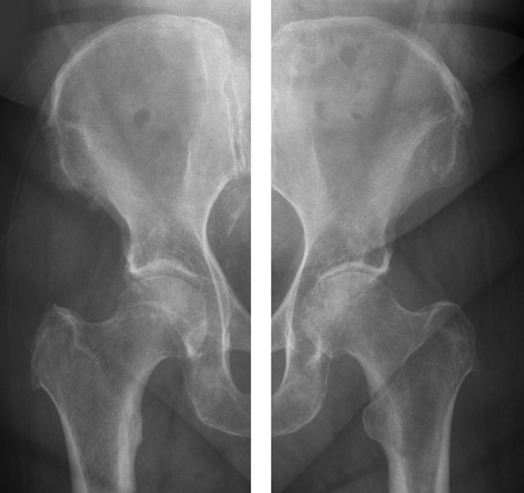
Der häufigste Grund, ein künstliches Hüftgelenk einzusetzen, ist altersbedingter Verschleiß des Gelenkes. Dabei verschleißt nicht der Knochen, sondern der Knorpel, der die Gleitschicht des Gelenkes bildet. Gelenkknorpel kann man grundsätzlich auf Röntgenbildern leider nicht erkennen. Aber der Abstand zwischen dem Hüftkopf und der Hüftpfanne zeigt, wie kräftig die Knorpelbeschichtung noch ist. Beim gesunden Hüftgelenk sind das ca. 8 Millimeter, also etwa 4mm Schicht auf dem Hüftkopf und 4 mm Schicht in der Hüftpfanne.
Auf dem Röntgenbild unten links ist ein Hüftgelenk zu sehen, das zwar schon nicht mehr ganz gesund ist, aber noch keinen so starken Verschleiß zeigt wie auf dem rechten Bild. Das rechte Bild zeigt eine fortgeschrittene Hüftgelenkarthrose, der Spalt zwischen Kopf und Pfanne ist zum Teil kaum noch zu erkennen.

Wie funktioniert die Operation "Einsetzen eines künstlichen Hüftgelenkes"?
Auf dieser Abbildung erkennt man links ein gesundes Hüftgelenk Die Knorpelschichten auf dem Hüftkopf, der wie eine Kugel geformt ist, sind glatt. Auch die Gelenkpfanne hat noch eine kräftige Knorpelschicht. Auf der rechten Abbildung erkennt man einen deutlichen Knorpelverschleiß an Hüftkopf und Hüftpfanne. Teilweise liegt der Knochen frei. Das ist eine sehr schmerzhafte Situation, eine ausgeprägte Arthrose.

Im ersten Teil der Operation wird der Hüftkopf mit dem Oberschenkelhals vom Rest des Oberschenkelknochens abgetrennt, dann wird der noch verbliebene Restknorpel aus der Hüftpfanne entfernt. In die vorbereitete Pfanne wird jetzt die künstliche Pfanne eingesetzt. Diese besteht aus einer äußeren Schale aus Metall und einer inneren Beschichtung aus Kunststoff.

Jetzt beginnt der 2. Teil der Operation. Der Oberschenkelschaft wird mit einem Instrument so vorbereitet, daß anschließend der Prothesenschaft paßgenau in den Oberschenkelknochen hineingesteckt werden kann, um dort fest einzuwachsen.
Das Röntgenbild unten gehört zu einer Patientin, bei der schon beide Hüftgelenke durch Endoprothesen ersetzt wurden. Wie man sieht, gibt es von Hersteller zu Hersteller kleine Unterschiede im Design der Materialien. Im deutschen Abrechungssystem wird von den Krankenkassen für das verwendete Endoprothesematerial eine Pauschale bezahlt. Aus wirtschaftlicher Sicht wäre es daher für den Operateur bzw. das Krankenhaus günstig, möglichst preiswerte Endoprothesen einzusetzen. Wir verwenden aber ausschließlich hochwertige Endoprothesen aus deutscher Produktion, die sich seit vielen Jahren am Markt bewährt haben. Teurer für uns, aber gut für unsere Patienten.

LINKS
Homepage der Praxis
Fotogalerie der Praxis
Homepage Dr. Wolf
Homepage Dr. Schwarke
KONTAKT
Orthopädisch-chirurgische Gemeinschaftspraxis Dres. Hansens, Herzog, Schwarke, Frank, Wolf, Grobe, Hilgert
Praxisstandort Schulstrasse 50, 25335 Elmshorn, Tel. 04121 - 22 0 11
Praxisstandort Hermann-Ehlers-Weg 4, 25337 Elmshorn, Tel. 04121 - 26 23 790
Juristische
Pflichtangaben
Nach dem Telemediengesetz sind Ärzte verpflichtet,
auf ihrer Homepage bestimmte Pflichtangaben leicht erkennbar,
unmittelbar erreichbar und ständig verfügbar zu halten. Folgende
Angaben gehören dazu:
Name und Anschrift der Niederlassung
Orthopädisch-chirurgische Gemeinschaftspraxis
Dr. med. Christoph Hansens
Dr. med. Olaf Herzog
Dr. med. Steffen Schwarke
Dr. med. Matthias Frank
Dr. med. Thomas Wolf
Dr. med. Roland Grobe
Dr. med. Ralf Erik Hilgert
Praxisstandort Schulstrasse 50
25335 Elmshorn
Tel. 04121 - 22 0 11
Dr. med. Christoph Hansens
Dr. med. Olaf Herzog
Dr. med. Steffen Schwarke
Dr. med. Matthias Frank
Praxisstandort Hermann-Ehlers-Weg 4
25337 Elmshorn
Tel. 04121 - 26 23 790
Dr. med. Thomas Wolf
Dr. med. Roland Grobe
Dr. med. Ralf Erik Hilgert
email-Adresse
info@4orthopäden2chirurgen.de
Zuständige Ärztekammer
Ärztekammer Schleswig-Holstein
Bismarckallee 1-6
23795 Bad Segeberg
www.aeksh.de
Zuständige Kassenärztliche Vereinigung
Kassenärztliche Vereinigung Schleswig-Holstein
Bismarckallee 1-6
23795 Bad Segeberg
www.kv-sh.de
Gesetzliche Berufsbezeichnung
Die Berufsbezeichnung "Arzt" wurde in Deutschland
erworben.
Berufsrechtliche Regelungen
(z. B. Heilberufsgesetz und Berufsordnung)
http://www.aeksh.de/aerzte/arzt_und_recht/arzt_und_recht.html
Verantwortlich für die Homepage
Dr. med. Ralf Erik Hilgert, Hermann-Ehlers-Weg 4, 25337 Elmshorn, Deutschland. Tel. 04121 2623790, email: info@4orthopaeden2chirurgen.de
Haftungsausschluß
Anbieter medizinischer Internetseiten sind für die
eigenen Inhalte, die sie zur Nutzung bereithalten, nach den allgemeinen
Gesetzen verantwortlich. Die Inhalte unserer Webseite dienen der
Information unserer Patienten. Sie wurden mit großer Sorgfalt erstellt.
Für die Vollständigkeit, Fehler redaktioneller und technischer Art,
Auslassungen sowie die Richtigkeit der Eintragungen kann trotzdem keine
Haftung übernommen werden. Auch wird eine Haftung ausgeschlossen für
Aktualität, Vollständigkeit oder Qualität der Darstellungen.
Von diesen eigenen Inhalten sind Querverweise auf
die von anderen Anbietern bereitgehaltenen Inhalte zu unterscheiden.
Die Inhalte fremder Web-Seiten, auf die mittels eines Hyperlinks
verwiesen wird, dienen lediglich der Information. Bildliche
Darstellungen, hierunter fallen auch Videosequenzen, dienen
ausschließlich der Information der User. Die Verantwortlichkeit für
diese fremden Inhalte liegt alleine bei dem Anbieter, der die Inhalte
bereithält.
Vor dem Einrichten des entsprechenden Verweises
sind die Web-Seiten der anderen Anbieter mit großer Sorgfalt und nach
bestem Wissen und Gewissen überprüft worden. Es kann jedoch keine
Gewähr für die Vollständigkeit und Richtigkeit von Informationen
übernommen werden, die über weiterführende Hyperlinks erreicht werden.
Eine Haftung für zu beanstandende Inhalte fremder Webseiten wird
ausgeschlossen. Falls durch Hyperlinks auf unseren Seiten auf Webseiten
verwiesen wird, die Anlass zur Beanstandung geben, bitten wir um
Mitteilung.
Recht
Als Betreiber einer Webseite unterliegen auch Arztpraxen bestimmten Vorschriften. Nach dem Telemediengesetz sind Ärzte verpflichtet, auf ihrer Homepage bestimmte Pflichtangaben leicht erkennbar, unmittelbar erreichbar und ständig verfügbar zu halten. Diese finden Sie rechts.
Anbieter medizinischer Internetseiten sind grundsätzlich für die eigenen Inhalte, die sie zur Nutzung bereithalten, nach den allgemeinen Gesetzen verantwortlich. Die Inhalte unserer Webseite dienen der Information unserer Patienten. Sie wurden mit großer Sorgfalt erstellt. Für die Vollständigkeit, Fehler redaktioneller und technischer Art, Auslassungen sowie die Richtigkeit der Eintragungen kann trotzdem keine Haftung übernommen werden. Auch wird eine Haftung ausgeschlossen für Aktualität, Vollständigkeit oder Qualität der Darstellungen. Von diesen eigenen Inhalten sind Querverweise auf die von anderen Anbietern bereitgehaltenen Inhalte zu unterscheiden. Die Inhalte fremder Web-Seiten, auf die mittels eines Hyperlinks verwiesen wird, dienen lediglich der Information. Bildliche Darstellungen, hierunter fallen auch Videosequenzen, dienen ausschließlich der Information der User. Die Verantwortlichkeit für diese fremden Inhalte liegt alleine bei dem Anbieter, der die Inhalte bereithält. Vor dem Einrichten des entsprechenden Verweises sind die Web-Seiten der anderen Anbieter mit großer Sorgfalt und nach bestem Wissen und Gewissen überprüft worden. Es kann jedoch keine Gewähr für die Vollständigkeit und Richtigkeit von Informationen übernommen werden, die über weiterführende Hyperlinks erreicht werden. Eine Haftung für zu beanstandende Inhalte fremder Webseiten wird ausgeschlossen. Falls durch Hyperlinks auf unseren Seiten auf Webseiten verwiesen wird, die Anlass zur Beanstandung geben, bitten wir um Mitteilung.
Datenschutz
Ab dem 25. Mai 2018 gilt die neue EU-Datenschutzgrundverordnung (DSGVO). Diese regelt unter anderem den Umgang mit personenbezogenen Daten und gilt gleichermaßen für den privaten als auch den öffentlichen Bereich. Nach der EU Datenschutz-Grundverordnung sind wir verpflichtet, Sie darüber zu informieren, zu welchem Zweck unsere Praxis Daten erhebt, speichert oder weiterleitet. Der Information können Sie auch entnehmen, welche Rechte Sie in puncto Datenschutz haben.
Verantwortlichkeit für die Datenverarbeitung
Verantwortlich für die Datenverarbeitung ist: Orthopädisch-chirurgische Gemeinschaftspraxis Dr. Hansens, Dr. Herzog, Dr. Schwarke, Dr. Frank. Dr. Wolf, Dr. Grobe, Dr. Hilgert. Praxisstandort Schulstrasse 50, 25335 Elmshorn, Tel. 04121-22011, Praxisstandort Hermann-Ehlers-Weg 4, 25337 Elmshorn, Tel. 04121 – 2623790. E-Mail-Adresse info@4orthopaeden2chirurgen.de
Zuständige Datenschutzbeauftragte
Sie erreichen die zuständige Datenschutzbeauftragte unter: Frau Sylvia Danker, Schulstrasse 50, 25335 Elmshorn, Tel. 04121-22011
Zweck der Datenverarbeitung
Die Datenverarbeitung in der Praxis erfolgt aufgrund gesetzlicher Vorgaben, um den Behandlungsvertrag zwischen Ihnen und Ihrem Arzt und die damit verbundenen Pflichten zu erfüllen. Hierzu verarbeiten wir Ihre personenbezogenen Daten, insbesondere Ihre Gesundheitsdaten. Dazu zählen Anamnesen, Diagnosen, Therapievorschläge und Befunde, die wir oder andere Ärzte erheben. Zu diesen Zwecken können uns auch andere Ärzte oder Psychotherapeuten, bei denen Sie in Behandlung sind, Daten zur Verfügung stellen (z. B. in Arztbriefen). Die Erhebung von Gesundheitsdaten ist Voraussetzung für Ihre Behandlung. Werden die notwendigen Informationen nicht bereitgestellt, kann eine sorgfältige Behandlung nicht erfolgen.
Empfänger Ihrer Daten
Wir übermitteln Ihre personenbezogenen Daten nur dann an Dritte, wenn dies gesetzlich erlaubt ist oder Sie eingewilligt haben. Empfänger Ihrer personenbezogenen Daten können vor allem andere Ärzte/Psychotherapeuten, Kassenärztliche Vereinigungen, Krankenkassen, der Medizinische Dienst der Krankenversicherung, Ärztekammern und privatärztliche Verrechnungsstellen sein. Die Übermittlung erfolgt überwiegend zum Zwecke der Abrechnung der bei Ihnen erbrachten Leistungen, zur Klärung von medizinischen und sich aus Ihrem Versicherungsverhältnis ergebenden Fragen. Im Einzelfall erfolgt die Übermittlung von Daten an weitere berechtigte Empfänger.
Speicherung Ihrer Daten
Wir bewahren Ihre personenbezogenen Daten so lange auf, wie dies für die Durchführung der Behandlung erforderlich ist. Aufgrund rechtlicher Vorgaben sind wir dazu verpflichtet, diese Daten mindestens zehn Jahre nach Abschluss der Behandlung aufzubewahren. Nach anderen Vorschriften können sich längere Aufbewahrungsfristen ergeben, zum Beispiel 30 Jahre bei Röntgenaufzeichnungen laut Paragraf 28 Absatz 3 der Röntgenverordnung.
Ihre Rechte
Sie haben das Recht, über die Sie betreffenden personenbezogenen Daten Auskunft zu erhalten. Auch können Sie die Berichtigung unrichtiger Daten verlangen. Darüber hinaus steht Ihnen unter bestimmten Voraussetzungen das Recht auf Löschung von Daten, das Recht auf Einschränkung der Datenverarbeitung sowie das Recht auf Datenübertragbarkeit zu. Die Verarbeitung Ihrer Daten erfolgt auf Basis von gesetzlichen Regelungen. Nur in Ausnahmefällen benötigen wir Ihr Einverständnis. In diesen Fällen haben Sie das Recht, die Einwilligung für die zukünftige Verarbeitung zu widerrufen. Sie haben ferner das Recht, sich bei der zuständigen Aufsichtsbehörde für den Datenschutz zu beschweren, wenn Sie der Ansicht sind, dass die Verarbeitung Ihrer personenbezogenen Daten nicht rechtmäßig erfolgt.
Internet-Auftritt, E-Mail
Zum Stichtag 25. Mai 2018 gibt es auf unserer Internetseite keine Möglichkeit für Sie, Daten über Eingabeformulare oder Ähnliches an uns zu übermitteln. Wir betreiben kein Patienten-Recall-System, kein elektronisches Termin-Erinnerungssystem und versenden keinen Praxis-Newsletter.
Jede Arztpraxis ist laut Telemediengesetz dazu verpflichtet, eine email-Adresse bereitzustellen. Die Angabe der Adresse soll es ermöglichen, den Webseitenbetreiber auf Fehler auf der Seite hinzuweisen, fehlerhafte links usw. Für folgende Dinge nutzen wir nicht das Internet oder E-Mails: Terminvergabe, Übersendung oder Erhalt von medizinischen oder sonstigen patientenbezogenen Unterlagen, Rezeptbestellungen, Versand oder Erhalt von Attesten, Befundberichten etc. Sofern Sie aktiv eine E-Mail an die Praxis schicken und uns dadurch personenbezogene Daten übermitteln (wie Name, Postanschrift, E-Mail-Adresse, Telefonnummer oder das Geburtsdatum), werden diese Daten ausschließlich in Übereinstimmung mit dem jeweils geltenden Datenschutzrecht erhoben, gespeichert und genutzt. Diese Daten werden zum Beispiel nur zur Beantwortung Ihrer Anfrage verwendet. Kontaktdaten, die im Rahmen von Anfragen angegeben werden, werden ausschließlich für die Korrespondenz verwendet.
Der technische Ansprechpartner (tech-c, Strato AG, Pascalstraße 10 10587 Berlin) betreut die Domain 4orthopaeden2chirurgen.de in technischer Hinsicht. Er speichert die IP-Adressen der Webseitenbesucher in sogenannte Logfiles zur Erkennung und Abwehr von Angriffen. Folgende Daten werden in Logfiles protokolliert: Besuchte Website, Uhrzeit zum Zeitpunkt des Zugriffes, Menge der gesendeten Daten in Byte, Quelle/Verweis, von welchem Sie auf die Seite gelangten, Verwendeter Browser, Verwendetes Betriebssystem. Verwendete IP-Adresse. Diese Speicherung gilt maximal sieben Tage.
Zuständige Aufsichtsbehörde
Unabhängiges Landeszentrum für Datenschutz Schleswig-Holstein (ULD), Holstenstraße 98, 24103 Kiel
Rechtliche Grundlagen
Rechtsgrundlage für die Verarbeitung Ihrer Daten ist Artikel 9 Absatz 2 lit. h) DS-GVO in Verbindung mit Paragraf 22 Absatz 1 Nr. 1 lit. b) Bundesdatenschutzgesetz.
Soweit wir für Verarbeitungsvorgänge personenbezogener Daten eine Einwilligung der betroffenen Person einholen, dient Art. 6 Abs. 1 lit. a EU-Datenschutzgrundverordnung (DSGVO) als Rechtsgrundlage.Bei der Verarbeitung von personenbezogenen Daten, die zur Erfüllung eines Vertrages, dessen Vertragspartei die betroffene Person ist, erforderlich ist, dient Art. 6 Abs. 1 lit. b DSGVO als Rechtsgrundlage. Dies gilt auch für Verarbeitungsvorgänge, die zur Durchführung vorvertraglicher Maßnahmen erforderlich sind. Soweit eine Verarbeitung personenbezogener Daten zur Erfüllung einer rechtlichen Verpflichtung erforderlich ist, der unser Unternehmen unterliegt, dient Art. 6 Abs. 1 lit. c DSGVO als Rechtsgrundlage. Für den Fall, dass lebenswichtige Interessen der betroffenen Person oder einer anderen natürlichen Person eine Verarbeitung personenbezogener Daten erforderlich machen, dient Art. 6 Abs. 1 lit. d DSGVO als Rechtsgrundlage. Ist die Verarbeitung zur Wahrung eines berechtigten Interesses unseres Unternehmens oder eines Dritten erforderlich und überwiegen die Interessen, Grundrechte und Grundfreiheiten des Betroffenen das erstgenannte Interesse nicht, so dient Art. 6 Abs. 1 lit. f DSGVO als Rechtsgrundlage für die Verarbeitung.
|